Nine months with Quick Straight Teeth - bite corrected, alignment beautifully transformed.
✨ Free Airflow Mondays — Complimentary Airflow with every Dental Hygiene session. Book now →
Real Results — Archway, North London
Before & after smile transformations from real Blue Light Dental patients in Archway, N19.
Nine months with Quick Straight Teeth - bite corrected, alignment beautifully transformed.
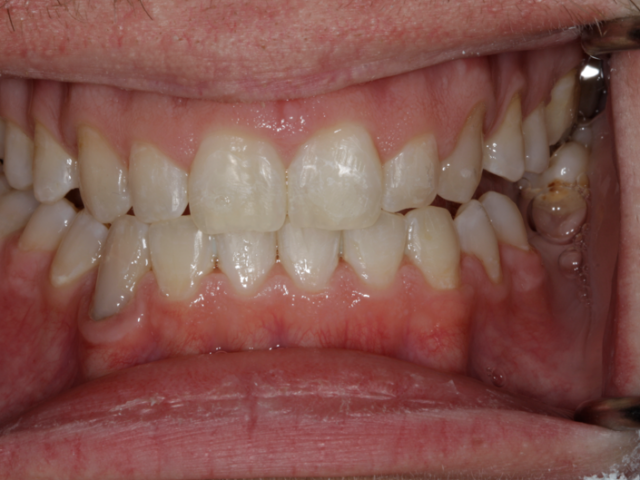
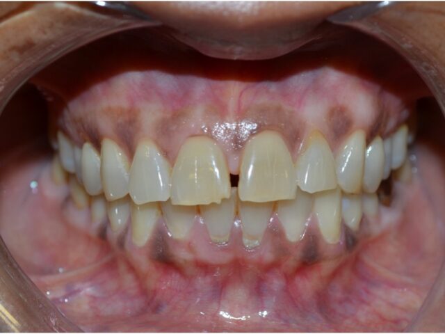
Closed the gaps, kept the character — small tweaks, beautiful balance.
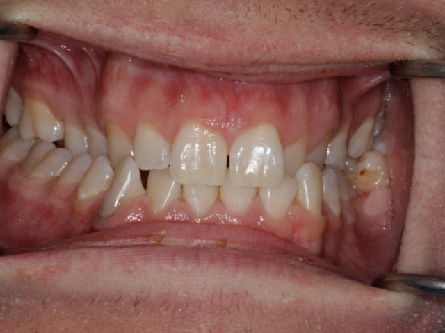
A little movement, a big difference — loving how naturally this smile came together!
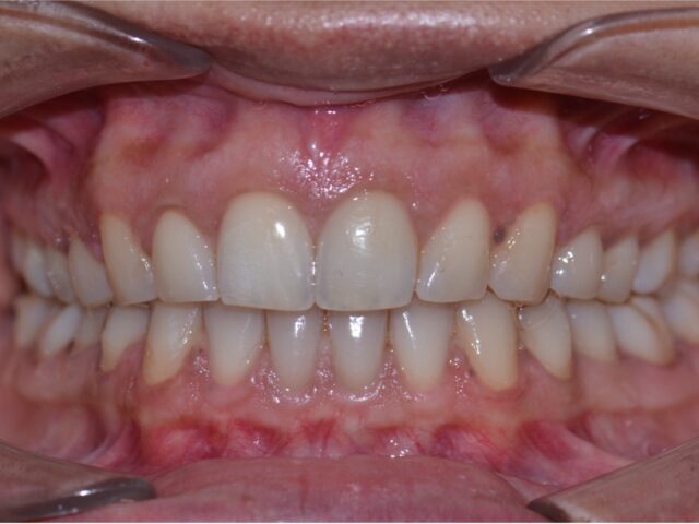
Small refinements, big impact — love how this smile now feels complete and effortless!
A fresh veneer bringing out that natural brightness — subtle and full of confidence.
Every smile here belongs to a real Blue Light Dental patient. These before & after cases showcase the kind of natural, lasting results our team delivers every day.
Results may vary. All images are of real Blue Light Dental patients and have been shared with their written consent. Individual outcomes depend on the patient’s clinical presentation, anatomy and treatment goals. Fees correct as of April 2026.
Book a £65 consultation — complimentary 3D Digital Scan included.