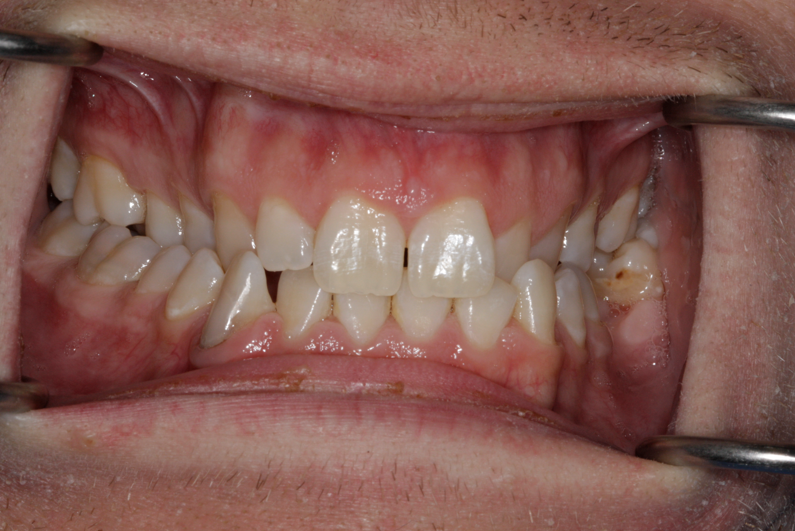
prashant189singh Principal Dentist & Aesthetic Specialist at Blue Light Dental & Aesthetic Clinic, Archway, North London. ← Previous Invisalign Gap Closure